OPENING HOURS
Monday – Friday 8am –4:30
pm
Saturday
closed
Sunday closed
Accreditations
DAMAS
DAMAS is the ‘Dental Appliance Manufacturers Audit Scheme’. It is a quality management system designed specifically for the manufacturers of custom made dental appliances.
The British Bite Mark
The British Bite Mark was launched on March 23rd 2012 and was designed to represent the dental laboratory industry in Great Britain. Wherever you see the British Bite Mark logo, you can be confident that custom made dental appliances have been manufactured on site in a British dental laboratory to your specific dental requirements.
Read more…
The Dental Laboratories Association
The Dental Laboratories Association Ltd (DLA) is a professional body for dental laboratory owners in the UK. Currently the Association has around 1000 members, over 50 of whom are affiliates. It is estimated that members of the DLA are responsible for over 80% of the dental laboratory services in the UK.
Read more…Best Laboratory 2015
The 2015 Dental Laboratory Awards was fantastic experience for our whole team as we had no inkling that we would win an award, let alone come home with three! We had an amazing evening and felt it was a great team building exercise for us all.
When we decided to enter the 2015 Awards we took the approach of it being a great opportunity to attend the awards with all the lab staff and to enjoy the evening, and if we came back with something, that would be an added bonus. Therefore, to win Best Implant Lab, Best Private Lab and Best Overall Dental Lab 2015 was just fantastic for our staff to be recognised for all their hard work that they put in every day. I think that our success is based on our continued re-investment of profits back into the laboratory and by doing this, allowing us to have state-of-the-art equipment and the latest technology. We are an innovative, forward thinking laboratory with forward thinking staff.
BEST IMPLANT LABORATORY
We successfully combine the most advanced materials, equipment and techniques to produce high quality craftsmanship. Every effort is made to provide you and your patient with natural looking, precision fitting restorations that will offer many years of trouble free function.
BEST PRIVATE LABORATORY
Specialising in Implantology and Crown and Bridge, combining Cosmetic Dentistry and Smile Design to get fantastic aesthetic results. We pride ourselves in offering technical assistance, guidance and support every step of the way from case planning and impression taking to the final delivery of the prosthesis.
We Specialise In

Implants
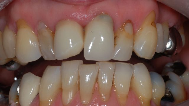
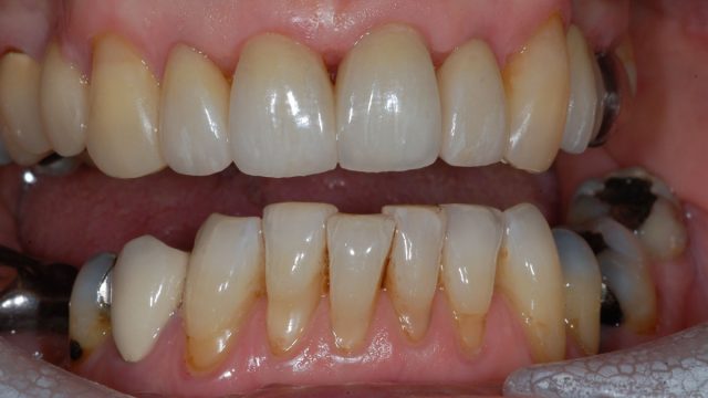
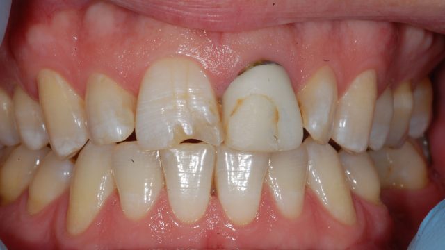
Dental implants have always been our passion. We combine our knowledge of cosmetic and aesthetic dentistry to provide natural looking implant restoration, from single crowns to full arch reconstructions.

Metal free
This is our largest growing area in the lab and with the introduction of so many new materials we are able to combine with our CAD/CAM technology to produce natural looking restorations that will give you the confidence to smile.
Milling
Our lab structure is one that every case that comes into the lab is scanned and milled in house whether it is milled in wax, pmma , titanium, chrome cobalt, zirconia or hybrid materials.

Crown and Bridge
Our quality crown and bridge is manufactured by a highly experienced team. We offer a full range of cosmetic crown and bridge, from veneers to full mouth reconstructions. We constantly look for new materials and methods to make our work even better.

Chrome Cobalt Denture
Although more expensive than acrylic our Chrome Cobalt dentures are considered the partial dentures of choice, for the long term integrity of your remaining natural teeth and overall oral health.
We Offer
Client guidance and communication
Competitive pricing
Guaranteed turnaround times
Patient consultation
Free courier collection
Nationwide postal service


About Us
IW DENTAL is a modern progressive digital laboratory, we are open minded with techniques and methods and are always on the lookout for new materials. We have invested a lot of time and money in our digital workflow coupled with our CAD/CAM and milling machines suitable to mill all our frameworks and implant bars and abutments, we strive to keep our development up to date with new materials and software. Combined with a talented team of artistic technicians we strive to create restorations that are not only functional but look aesthetically fantastic, and give your patients reason to smile.
Staff
Ian Woolley
Managing director
Russell Jackson
Lab Manager
Lucy Woolley
Accounts Manager
Jon Perkins
Assistant Lab Manager
Margaret May
Administration
Go Digital
Bristol CADCAM, part of ALS Dental, provides advanced digital tools like scanners, milling machines, and 3D printers. Their expertise ensures seamless adoption of digital workflows, showcasing ALS Dental’s commitment to innovation and quality.
Contact details of Bristol CAD/CAM:
Email: info@bristolcadcam.com
Contact: 0117 977 3593
We successfully combine the most advanced material, equipment and techniques to produce quality craftsmanship. Every effort is made to provide you and your patient with natural looking precision fitting restorations that will offer you many years of trouble free function.










